un blog de Radu Dumitru

+ Susține blogul cu un click la: eMAG - Fashion Days - Finestore - PC Garage - Flip - Best Value +

Nu amânați investigațiile medicale și rezolvarea problemelor (3 exemple personale)

10 Aug 2020  ·

GÂNDURI  ·

35 comentarii

Prima idee: mergeți cu regularitate la analize medicale. Nu deveniți ipohondri, dar nu ignorați nevoia analizelor medicale periodice.

A doua idee: când aveți o problemă, încercați să o rezolvați cât mai rapid posibil. Amânările, după cum puteți citi mai jos, duc la complicații.

A treia idee: moderație în viață. faceți mișcare, aveți grijă de voi, aveți grijă la ce mâncați. Nu o să încep să îndemn pe nimeni să mănânce doar broccoli fiert, că nici eu nu fac asta, dar măcar informați-vă, conștientizați ce mâncați, câte calorii și câtă grăsime include o felie de pâine unsă cu unt, ce-i BMI-ul șamd. Dacă azi băgați o pizza, mâine nu continuați tot cu o pizza.


 

Unu. Acum patru ani mi-am pus o plombă cu extracție de nerv la prima măsea din stânga-sus (2-6?). Acum doi ani mi-a căzut plomba respectivă, împreună cu o bucată mică din peretele măselei. Întrucât nu mă durea nimic, ba chiar puteam să mestec în continuare normal cu ea, am zis că o rezolv mai târziu.

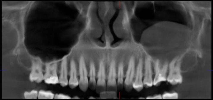
În 2019 n-am făcut nimic în acest scop. În 2020, prin ianuarie și februarie, am început să merg la un cabinet stomatologic aici în cartier cu gândul să rezolv tot ce e de făcut prin gură. Mi-a eliminat vreo 3 carii minore sau plombe veni pe la alți dinți, iar când am ajuns la măseaua aceasta mi s-a cerut să fac o radiografie 3D, ca să vadă medicul stomatolog exact cum arată nervii și ce s-a făcut acum 4 ani acolo (clasicul “vaai… cine v-a lucrat aici?”).

Surpriza a fost la radiografie, unde mi s-a descoperit un chist în sinusul drept, în maxilar. Chistul a pornit, cel mai probabil, de la o mică infecție la rădăcina acelei măsele și s-a umflat până la o dimensiune “medie”, ceea ce face intervenția de acum mult mai complicată. Nu-i ceva periculos, dar dacă mergeam acum doi ani la stomatolog, probabil că evitam totul.

Soluția acum? Am fost la un medic ORL care mi-a spus că astfel de chisturi sunt uzuale, mulți oameni le au fără să știe de ele. Mi-a recomandat să încep tratamentul la stomatolog, dar să iau în același timp două antibiotice puternice zilnic (vreo 6 pastile în total per zi), astfel încât stomatologul (și chirurgul… ceva de dinți) să elimine total sursa infecției respective. Abia apoi vom vedea dacă în timp chistul se micșorează singur și dispare, iar dacă nu, probabil va trebui să fac o mică operație pentru eliminarea sa, care vine cu alte riscuri de infecție.

Pata aia gri din dreapta imaginii este chistul.

Operația cică este cu dat o gaură fină cu burghiul în gingie și intrat în sinus. Nu știu de ce nu se poate face prin nas, că din filme SF am învățat că tot felul de paraziți mari pot intra pe acolo până în creier.

Partea și mai nasoală: eram programat la începerea tratamentului stomatologic (erau necesare 3 ședințe) cu vreo 5 zile înainte de declanșarea stării de urgență la final de martie. De comun acord cu medicul am stabilit atunci să amânăm totul (tratamentul nu-i urgent), că ei voiau oricum să închidă cabinetul și, în caz de vreo infecție, eu nu aveam chef să umblu prin spitale alături de bolnavi de covid. Apoi a venit starea de urgentă și oricum s-a închis totul.

S-au redeschis cabinetele în mai sau iunie, dar acum îmi este mie teamă să merg acolo, că evit astfel de locuri.

TLDR: când aveți o problemă, nu amânați rezolvarea ei, chiar dacă nu pare urgentă.


Doi. Asta are legătură cu problema de la coloana vertebrală, unde am o ușoară dilatare a vertebrelor (“minime protruzii la nivelul L4-L5 și L5-S1”). Am făcut un RMN în martie 2019 și problema nu este gravă, e abia într-un stadiu foarte incipient, iar de atunci am avut mult mai multă grijă la poziția corectă pe scaun, la cum ridic greutăți șamd și sunt fericit să zic că nu țin minte să mă mai fi deranjat spatele vreodată.

RMN-ul l-am făcut în martie 2019. Neurologul, după ce a văzut RMN-ul, mi-a spus să merg la recuperare medicală. 2019 a fost un an foarte aglomerat pentru mine, așa că n-am ignorat doar problemele cu dinții, ci și pe cele cu spatele, acum că știam că nu-i ceva grav la vertebre.

Și deci am amânat recuperarea aceasta. La un moment dat, după ce m-am săturat să mă bată Matilda la cap cu asta, m-am dus la Regina Maria și mi-am făcut programare pentru kinetoterapie. Se pare că la ei este foarte aglomerat, așa că în luna februarie am reușit să fac programări pentru sfârșit de mai și început de iunie, în total 10 ședințe la număr. Eram programat din 2 în 2 zile.

Știți ce s-a întâmplat apoi? A venit covid-ul, am anulat toate acele programări pentru că nu mă duc să stau cu orele în spital în această perioadă, așa că n-am mai făcut deloc recuperarea medicală. Iar dacă aș vrea să fac acum programări, probabil găsesc liber tocmai în octombrie. Cândva voi face și asta.

TLDR: când aveți o problemă, nu amânați rezolvarea ei, chiar dacă nu pare urgentă.


Trei. Asta este cu tatăl meu.

De câțiva ani are mici dureri la inimă și umblă cu pastile de nitroglicerină la el. Dacă lua una, îi trecea pe loc durerea.

Acum vreun an aceste dureri au început să fie mai dese, așa că un medic i-a recomandat să facă o coronarografie. Această investigație presupune introducerea de substanță de contrast în sânge, iar un aparat șmecher face radiografii din diverse poziții și medicul vede perfect starea arterelor. Citiți aici detalii, că acum niște ani mi le-a explicat foarte bine un medic cardiolog.

În timpul coronarografiei, dacă medicul vede un blocaj, poate introduce pe loc un stent, adică un mic dispozitiv care dilată artera în acea zonă pentru a crește fluxul sanguin. Treaba asta se face introducând un cablu lung prin artera de la picior, în zona inghinală, și ghidându-l prin corp până la inimă, ca pe un șarpe de desfundare a țevilor. Pacientul este conștient, se face doar cu anestezie locală, dar nu simte nimic deranjant.

Sună ideal, până afli costurile. O coronarografie costă 1.400 de lei la Medlife, de exemplu, unde a făcut-o tata, dar dacă-ți pune și stent, costul sare la 12.900 de lei (și cam la fel este la toate clinicile private, de fapt). Un preț mic față de alternativă, după cum puteți vedea mai jos.

Și na, ai mei au sunat la Fundeni, unde este un centru cardiovascular mare, și au cerut programare la coronarografie. “Nu avem locuri, tot bugetul e consumat pe jumătate de an, sunați-ne prin decembrie”. Au sunat în decembrie, aceeași poveste, “sunați-ne prin iunie”. Au sunat în iunie ca să fie amânați din nou pentru lunile viitoare, când poate vor fi bani la asigurările de stat.

Practic, părinții mei au plătit toată viața taxele la stat, dar când a fost vorba de o astfel de analiză, nu se găseau niciodată fondurile necesare.

Tata se simțea tot mai rău, așa că s-a programat la Medlife. Și-a făcut test covid, exudat faringian și alte analize cerute pentru internare, s-a internat pentru coronarografie și… n-au reușit să-i pună stent.

Au încercat de trei ori, dar avea un blocaj foarte aproape de inimă, unde artera descendentă anterioară se bifurcă în trei. Blocajul afecta două ramuri și era de 95%. Închipuiți-vă cum curge apa de la chiuvetă și apoi închipuiți-vă că doar 5% mai curge, așa era debitul pe acolo. I-au zis să se ducă acasă și să stea în pat, fără cel mai mic efort, și să se programeze urgent la o operație de bypass coronarian. Și da, am plătit în plus pentru încercările eșuate de montare, că medicul și-a făcut treaba încercând.

Bypass-ul acesta înseamnă că se grefează o arteră bună în jurul blocajului respectiv, ca și cum ai deschide încă un drum pentru a reduce înghesuiala de pe singurul existent. Tata avea nevoie de două, deci dublu-bypass.

Operația asta durează între 3 și 6 ore și presupune întâi tăierea oaselor sternului, oprirea inimii și conectarea sistemului circulator la o mașinărie numită pompă inimă-plămân, care preia funcțiile inimii. Apoi medicul ia de undeva din corp o bucată sănătoasă de arteră și face bypass-ul, conectează totul la loc cum trebuie, scoate pompa din circuit și repornește inima, lipește cu superglue oasele pieptului și închide pacientul. După care, bănuiesc eu, se duce să-și ia un Lamborghini cu banii câștigați, că-și merită salariul pentru că a salvat viața cuiva.

Culmea este că operația, deși sună complicat, a ajuns să fie destul de uzuală și în România. Este cea mai des făcută chirurgie cardiovasculară. La nivel mondial, șansele de supraviețuire sunt de peste 95%, iar pacienții de obicei se recuperează cu bine.

Am mers din nou la Fundeni, la centrul CC Iliescu de boli cardiace, și acolo medicii i-au recomandat direct să se opereze la privat. Adică ar fi putut să-l opereze și la Fundeni, dar se pare că momentan operează doar urgențele medicale. Poate cu niște pile ar fi putut să-l programeze peste 1-2 luni la operație. Poate nu și l-ar fi amânat mereu cu încă 2-3 luni.

Fundeni, apropo, este și spital de covid-19 și, deși secțiile sunt bine separate între ele și am descoperit acolo triajul clasic de la intrare și toate măsurile de siguranță necesare, nu se știe niciodată ce se întâmplă. Am auzit de pacienți infectați deși erau în altă clădire.

Tot neoficial, din altă sursă, am aflat că la Fundeni stau destul de rău și cu infecțiile nosocomiale, dar nu am cum să confirm asta. Per total, însă, tu plătește asigurările medicale la stat toată viața, că tot la privat ajungi când ai o urgență!

Tata a fost operat la Spitalul Monza pe 30 iulie, după ce a făcut iar test covid, exudat și alte analize necesare în prealabil. A trecut cu bine prin operație, iar zilele trecute l-am adus acasă (am scris articolul acesta chiar înainte să plec spre spital, dar nu știu exact când îl voi publica). Nasol în perioada asta cu covid-ul pentru că nu este permis accesul rudelor în nici un spital. L-am lăsat acolo înainte de operație, l-am revăzut din nou 10 zile mai târziu, la externare. Urmează o perioadă lungă de recuperare, iar faptul că are oasele pieptului tăiate în două face mișcările mult mai dificile, dar deja se mișcă și merge bine. Și, bineînțeles, nu mai riscă să facă poc în orice moment, din senin.

Acum nu știu cât de ușor era de prevenit o astfel de problemă. Tata are 105 kg, diabet ușor (glicemia 140), 68 de ani, face moderat mișcare. Nu sună bine, dar putea fi mult mai rău, știu oameni de 35 de ani care au 120 kg și trigliceridele duble față de ale lui.

Nu cred că o coronarografie făcută acum un an l-ar fi ferit de operație, dar poate ar fi avut timp să o facă mai pe îndelete, cu accesul familiei ca să-l vadă în spital, cu mai puține riscuri.

Dar dacă s-ar fi dus la o astfel de analiză acum 5 ani? Sau dacă ar fi urmat, de-a lungul timpului, toate sfaturile de genul “evitați excesul de sare și grăsimi”, un regim alimentar mai bun și alte sfaturi? Nu știu, nu vom ști niciodată, dar probabil că ar fi ajutat. Probabil n-ar fi ajuns la o astfel de operație.

A fost un articol lung, așa că voi scrie altădată ceva mai multe despre operație și experiența cu Monza și cât a costat totul (mai puțin decât mă așteptam, sincer să fiu) și ce sistem mișto de vânzare au, practic, acolo. Între timp, însă, am o întrebare izvorâtă din curiozitate: dacă știți pe cineva care s-a operat de bypass la un spital de stat, aveți idee și cât a costat totul? Cam la cât se ridică în total costurile acolo? Că teoretic e gratuit, dar practic nu.

    35 comentarii

  1. Pana ajungi la kinetoterapeut, poti sa-ti faci o rutina zilnica cu cateva exercitii usoare pentru zona lombara. https://www.youtube.com/watch?v=p6CMso14NWk&t=2s

    • Da da, clar. Te tratezi cu videouri de pe Youtube.
      Voi sunteți la fel ca și bătrânii care recomandau medicamente ca asa a luat și Măriuca din vecini.

      Evoluție 0

    • Niste exercitii nu-s echivalentul medicamentelor. Sigur – facute incorect ( sau fara incalzire) etc – pot provoca disconfort cateva zile ( uneori chiar mai grav – daca fortezi aiurea ) insa daca esti precaut si-ti urmaresti durerea poti evita problema asta.

    • Mihai Timofte

      11/08/2020 la 5:30 PM

      imars ca fericit purtător de 3-4 hernii de disc pot să-ți zic că ce ai recomandat tu acolo îți face și mai mult rău. Nu mai shareui rahatul ăla.

  2. mai intereseaza-te de preturi la stenturi. am pe cineva care si-a pus trei la Sibiu, la Polisano cred, medici foarte ok comparativ cu Bucuresti, in sensul ca esti tratat cu mult mai multa intelegere si compasiune, nu esti doar pacientul nr. x, iar ca pret a fost ceva la vreo 4000 de lei pe bucata, parca.

  3. Ptr hernii lombare, cervicale si alte minuni d-astea legate de oase incheieturi etc eu am fost cu doamna mea la Coloana Medicala. Undeva pe sisești. Aparatura cap de serie. Mese de elongatie si alte minuni. Preturi pe masura. Dar dupa cateva luni s-a simtit diferenta iar rmnul la coloana arata mai bine. Repet: preturi mari si departe ca localizare. A mea are o hernie lombara de toata frumusetea pe care o tine sub control ca sa evite operatia.
    Exercitii se pot face si acasa, este programul williams, dar intai tre sa mergi la un specialist care sa-ti arate cum se fac corect miscarile.

  4. La sanatate multi contribuie si foarte putini beneficiaza. Cum ar fi daca un asigurator privat ar zice ca nu mai are buget sa furnizeze serviciul? Statul FURA de la cei care cotizeaza.

  5. Stai bine de tot cu dinții, să îi ai încă pe ai tăi în toată gura e ceva.

  6. Evita Regina Maria. Numai reclama e de ei, în rest sunt fomisti după bani, clinici jegoase.

    • La abonamente sa stii ca au cam cea mai buna oferta, dintre retelele mari de sanatate (Medlife, Medicover, Sanador). Eu am facut un research toamna trecuta si la Regina Maria am gasit cele mai multe servicii incluse in abonamentul cel mai mare (cam 120lei pe luna), dar am inclusiv CT, RMN, ambulanta, servicii in regim de urgenta, nu mai zic de radiografii si ecografii de tot felul. Singura analiza pt care am platit pana acum a fost cea de vitamina D, dar care cred ca are ceva regim special, ca inclusiv la stat se plateste. La celelalte retele aveam incluse mult mai putine investigatii, chiar si la abonamentul cel mai mare.

  7. Foarte bine punctat, dar as recomanda mai degraba investigatii regulate, nu doar atunci cand apar problemele.
    Eu una ma duc de 2 ori pe an la dentist (de obicei nu e nevoie decat de un detartraj) si o data pe an ma programez pentru analize si consultatii: analize de sange + hormoni, BTS-uri, dermatologie (imi monitorizez alunitele), optica, gastro (cu o ecografie), plus, pt ca sunt femeie, gineco si radiografie mamara. Mai fac si recuperare medicala pt spate (kineto, masaj si ceva aparate cu unde electromagnetice), cate 2 ore timp de 2 saptamani inainte de birou, cam odata pe an. Nu sunt ipohondra, astea sunt niste investigatii minime anuale recomandate de un medic generalist batran.
    As mai puncta si ceva legat de alimentatie: o singura masa pe saptamana de junk food, si aici includ nu doar pizza si burgeri, ci si lasagna, chiftele, snitele, cartofi prajiti, carne prajita, sarmale, etc.

    • Ah si am uitat: monitorizat constant greutatea si cum vad ca iau 1-2 kg iau masuri. In urma cu cativa ani nu faceam asta si m-am trezit la un moment dat cu 7 kg in plus, pe care mi-a luat f multa vreme sa le dau jos.

  8. Cum adica sa platesti pentru o procedura nereusita? “Si eu am incercat de 3x sa va platesc si nu am reusit”

  9. Blackskull:
    Ptr hernii lombare, cervicale si alte minuni d-astea legate de oase incheieturi etc eu am fost cu doamna mea la Coloana Medicala. Undeva pe sisești. Aparatura cap de serie. Mese de elongatie si alte minuni. Preturi pe masura. Dar dupa cateva luni s-a simtit diferenta iar rmnul la coloana arata mai bine. Repet: preturi mari si departe ca localizare. A mea are o hernie lombara de toata frumusetea pe care o tine sub control ca sa evite operatia.
    Exercitii se pot face si acasa, este programul williams, dar intai tre sa mergi la un specialist care sa-ti arate cum se fac corect miscarile.

    Sunt mega-ultra scumpi la orice tratament, iti jupoaie pielea de pe tine. Masa aia de elongație nu e cine știe ce tehnologie dar ei o fac sa pară. Mie mi-a făcut mult mai mult rău decât bine.

    Recomand kineto la institutul de recuperare de stat de pe Armand Călinescu, într-adevăr aștepți cam 1 luna sa incepi terapia pentru că nu primesc mai mult de 2-3 in sală dar și medicul e f tare(Dr Curelea) și kineto (Bety). Prețul e destul de mic, fiind de stat dar condițiile sunt ok, curat, se poarta masca in permanență, etc.

  10. Multa sanatate pentru tatal tau! Subscriu… si eu pacatuiesc amanand analizele anuale… gata saptamana asta imi fac programare la medicul de familie!

  11. E culmea sa platesti ca ” a incercat” medicul sa faca o procedura, dar n-a reusit.

    • Mno, nu aș fi atât de sigur, nu e ca și cum te duci cu mașina în service și mecanicul te taxează și când nu repară. Aici au fost totuți niște costuri de pregătire a operației, de consumabile, de timp al chirurgului și al echipei. Nu s-a reușit nu din vina doctorilor ci a unei particularități a bolii care presupun că nu a putut și prevăzută. Adică există circumstanțe în care cu părere de rău… tre să plătești chiar și pentru ”nereușită”

  12. salut, pentru sinusul maxilar poti intreba de https://en.wikipedia.org/wiki/Functional_endoscopic_sinus_surgery

    Eu am o problema similara (sinusul maxilar drept s-a umplut din cauze unei extractii de masea de minte). Doctorii mi-au propus doua variante:

    https://en.wikipedia.org/wiki/Caldwell-Luc_surgery (super invaziva, prin incizie se ajunge in sinusul maxilar si acolo se curata). probabil asta ti-au propus si tie

    https://en.wikipedia.org/wiki/Functional_endoscopic_sinus_surgery (e o endoscopie prin nas, non-invaziva)

    momentan urmez un tratament cu un meicament antiimun (reduce inflamatia), antibiotic (din cauza primului medicament), protectie stomac, spray cu cortizol, si spalaturi nazale – doctorii spera ca tratamentul va rezolva problema. Eu ma indoiesc. plus ca tratamentul pare foarte agresiv. In caz ca nu functioneaza, mi-au recomandat FESS.

    In cazul in care doresti mai multe detalii, poti sa ma contactezi (tratamentul il urmez in Austria)

    o recomandare inainte de operatie (daca se ajunge acolo) e sa faci testul de coagulare a sangelui la medicul de famili (eu am descoperit o problema dupa extractia de masea de minte desi nu am avut niciodata probleme cu coagularea). In cazul in care ai vreo problema, e foarte riscanta operatia cu incizie.

    sanatate!

  13. Un copil internat cu pneumonie la MedLife 13 zile impreuna cu mama si investigatiile + tratmentul = 25.200 RON (cu discount 15% ca avea abonament).

    Sanatate tatalui tau!

  14. Am retinut niște chestii importante pe ziua de azi. Bine, le stiam pe unele dar altele nu imi venea sa le cred. Stiam ca preventia ajuta clar, stiam foarte bine ca o boala descoperită la timp poate fi tratată mult mai usor/ repede. Ceea ce doar bănuiam este faptul că la spitalele de stat se ajunge relativ greu. Acum mi-ai întărit convingerea că se ajunge imposibil de greu. Ca daca nu-l ai pe Arafat in agenda telefonului atunci nu ai ce cauta la spital si aștepta tratament plătit din asigurarea de sanatate. Ca noi doar plătim si “ei” beneficiază. Ei bine, aici vad un potențial de subiecte de publicat pe toate blogurile. Asta merita facut public tuturor si nu faptul ca huawei e ok si fara google, huawei app store e minunat, iar daca chiar vrei instalezi serviciile google in 5 minute.
    Suntem unii care nu ne-am lovit de sistemul medical si credem ca functioneaza asa cum trebuie… ma rog, la limita, poate ca 100€ ajuta. In realitate suntem niște cacati in ochii sistemului. 🤦‍♂️
    Tu esti singurul, din cei citiți de mine, care a avut ouă sa faca asemenea afirmatii. Felicitări! (Infecții, amânări, etc…)

    • Iartă-mă, am fost “pornit” rau si am uitat lucrul cu adevarat importat!
      Multă sănătate tie si întregii familii!
      Sa treceți cu bine peste aceasta încercare.
      La noi, cineva din partea soției a trecut prin ceva asemănător, bypass si chestie cu impulsuri (peacemaker??). Din ce îmi amintesc, cash-ul a fost 4k€ doar pt a fi categorisit ca si urgenta. Bineinteles ca in realitate pretul a fost muls din sistem dar nu stiu cat.

  15. Multă sănătate tatălui tău!
    Tata a avut aceeași problemă, adică nu i-au putut monta stenturi, însă din cauză că avea 3 din 4 vase înfundate parțial. Așa că au decis să îi facă bypass. Operația a durat vreo 12-13 ore (au zis că din cauza diabetului nu se coagula sângele), a doua zi a fost conștient, însă în următoarele 3 zile starea i s-a agravat și a murit fără să ni se dea o explicație inteligibilă. Presupun că de la vreo infecție nosocomială…
    Operația a fost la Spitalul Militar Central, acum 7 ani.
    Nu ne-au cerut nimic și au refuzat orice atenție. Pe urmă am aflat că fusese un flagrant cu vreo două-trei săptămâni în urmă…

    • Stai stai stai.
      Adică taicatu a murit de la operație și tu discuți de “atenție” la doctori?!
      Ba boss……..

  16. Anul trecut am facut o operartie de eliminare a unu chist care ocupa tot sinusul (cel mai probabil tot de la o infectie dentara care a evoluat timp de ani buni ~7ani), insa l-au scos pe nas pentru ca imi doream ca recuperarea sa dureze cat mai putin: 3-5 zile fata de 2-3 saptamani pentru operatia cu burghiul.
    P.S. operatia a fost facuta intr-o clinica privata.

  17. Deci sa inteleg ca iei masuri si in loc de KFC cu sampanie si turul burgerilor o sa vedem in curand turul restaurantelor vegane? :)
    Radem-glumim, dar cum stai cu BMI-ul? Sper ca nu a crescut odata cu varsta la 30+

    • boss, dupa 30 ani esti copt, esti ca o masina cu 100k kilometri, incep sa se strice chestii.
      gen la 30+ ani se termina uleiurile si lubrifiantii de pe la chestii.

  18. 1. Si ce o sa faci cu dantura? Si eu am probleme si nu vad pe nicaieri sa scrie cineva ca a fost si cum e cu dezinfectarea.
    3.Cu inima e o o loterie. La fel si cu analizele. Exemplu: analize anuale si medicul putea sa vada de acum 7-10 ani ce urmeaza dar ori nu a zis, ori nu a explicat clar.
    Poate ajuta cuiva sa explic:
    -aslo e o analiza care arata ca ai reumatism
    -proteina reactiva C – daca-mi aduc bine aminte, apare la cei cu reumatism
    – daca proteina asta apare fara sa ai reumatism si combinat cu o steatoza hepatica si trigliceride crescute, fara diabet( chiar daca esti slab) arata ca urmeaza boala cardiovasculara. Asta nu a spus medicul, gen= vezi ca faci infarct!
    Urmarea a fost( dupa niste ani) un infarct miocardic fara simptome descoperit la ceva luni de la producere, la un EKG de control si pus pe toata lumea pe jar ( pt ca cine a mai auzit sa faci infarct fara sa te doara?)

    • @Mad, din păcate nu ai inclus toate detaliile / pe cele corecte:
      – durerea nu apare mereu în cazul infarctului, chiar și așa, percepția durerii este subiectivă;
      – proteina C reactivă este un marker pentru inflamații (o valoare crescută poate semnala și alte inflamații decât cele asociate bolii reumatoide).

  19. in primul rand, multa sanatate tatalui tau si recuperare grabnica, am o intrebare daca poti sa-mi spui, cat a costat interventia? Multumesc

    • Buna, Ovidiu. Pana raspunde Radu, iti spun despre cazul nostru. Tata a avut interventie de dublu by-pass tot la Monza, in 28 iulie. Am platit 31.000 lei si la externare inca 5.000 lei (pentru zile in plus de internare fata de pachetul de 31.000).
      Am avut bilet de trimitere de la dr de familie pentru Chirurgie cardiovasculara si asta a redus costul cu vreo 2.000 lei (deci initial a fost 32.600 minus 2.000 partea deconatat de stat plus test covid = 31.000). Internarea a fost in 22 iulie, externarea in 4 august.

  20. Wow!
    Pe 28 iulie tata a fost operat la Monza pentru aceeasi problema…
    Caz similar: dureri in piept de cateva luni, de care nu mi-a spus. Infarct la sfarsit de iunie, internare si externare cu recomandare de coronarografie. Coronarografie facuta la un spital mare in centru, unde s-a constatat ca nu este caz de stent, ci de by pass… 2 artere infundate 100%, 1 infundata 90%… A fost declarat bomba cu ceas si trimis la chirurgie. Din cauza unor informatii primite si care m-au influentat :(, am ales sa nu ramanem la spitalul unde facusem coronarografia. Transferul la CC Iliescu a fost anulat cu o ora inainte de a se intampla din cauza de caz Covid in sectia unde urma sa ajunga. Nestiind cat va dura pauza luata de cei de la CC Iliescu, am aranjat transferul la Monza unde, cateva zile mai tarziu, s-a intamplat dublu by-pass. Totul a decurs bine pana acum … Sanatate multa familiei tale si familiilor cititorilor tai!

  21. Înainte de bypass este bine ca pacienții să se documenteze și să întrebe doctorii despre toate opțiunile disponibile (în cazul de față și despre aterectomie). Ateroscleroza apare chiar și la normoponderali sau chiar foști sportivi. Cei de la Monza-Ares sunt printre cei mai buni.

    Medicina nu se face pe bloguri. Lucrurile esențiale se învață la orele de biologie, iar diagnosticul și opinia medicală sunt exprimate doar de către un doctor cu drept de practică. Dacă accesul la un doctor nu este posibil, unele răspunsuri pot fi găsite în cărțile scrise de profesorii doctori în medicină. Era o perioadă în care fiecare avea în casă Agenda Medicală sau Manualul Merck…

  22. Multa Sanatate tatalui tau Radu !
    Sunt clinici stomato foarte foarte atente cu procedurile antiCovid. Poti incerca la ele.

    Ovidiu

  23. pana la un punct, exact aceeasi experienta am avut-o cu mama.
    pana la urma ei i s-au montat 2 stenturi tot la Monza – cu test, izolare si abia apoi interventia.
    cu factura, a costat totul 22.000lei.
    si e o pensionara care a platit toata viata asigurari.

    spitalele sunt goale, internati acum la stat sunt doar cei care au un sistem de pile bine pus la punct. toate fondurile se indreapta catre covid.
    sunt doctori care chiar isi doresc sa-si faca meseria, sa faca operatii, sa faca transplanturi, dar totul e sistat cu rea vointa. extrem de multa lume se oblojeste cum poate si rezultatul se va vedea in scurt timp.
    f multi cronici si-au agravat bolile.

    Alătură-te discuției, lasă un mesaj

    E-mail-ul nu va fi publicat. Fără înjurături și cuvinte grele, că vorbim prietenește aici. Gândiți-vă de două ori înainte de a publica. Nu o luați pe arătură doar pentru că aveți un monitor în față și nu o persoană reală.

    Apăsați pe Citează pentru a cita întreg comentariul cuiva sau selectați întâi anumite cuvinte și apăsați apoi pe Citează pentru a le prelua doar pe acelea. Link-urile către alte site-uri, dar care au legătură cu subiectul discuției, sunt ok.


    Prin trimiterea comentariului acceptați politica de confidențialitate a site-ului.



    Vreți un avatar în comentarii? Mergeți pe gravatar.com (un serviciu Wordpress) și asociați o imagine cu adresa de email cu care comentați.

    Dacă ați bifat să fiți anunțați prin email de noi comentarii sau posturi, veți primi inițial un email de confirmare. Dacă nu validați acolo alegerea, nu se va activa sistemul și după un timp nu veți mai primi nici alte emailuri

    Comentariile nu se pot edita ulterior, așa că verificați ce ați scris. Dacă vreți să mai adăugați ceva, lăsați un nou comentariu.

sus